
CEP TELEFONLARI KANSERE DAVETİYE Mİ ÇIKARIYOR?
Zaman zaman çoğu doktora cep telefonları beyin tümörüne sebep olurmu diyerek soruluyor. Bazıları öne ...

Zaman zaman çoğu doktora cep telefonları beyin tümörüne sebep olurmu diyerek soruluyor. Bazıları öne ...

Vücudumuzu dik tutan bel kemiği (omurga) bazan eğrilikler gösterir. Çok genç yaşlarda başlayabilen e ...

Sırtımızda hemen hemen boyun bölgesinden başlayıp kalçamızdan daha aşağıya kadar uzanan ve omurilik ...

Omurilik tümörleri, omuriliği kaplayan koruyucu kılıfların arasında ya da kılıfın yüzeyinde gelişeb ...

Boyun Fıtığı, boyun omurları arasındaki kıkırdağın omurilik kanalına doğru yer değiştirmesi sonucu k ...

Migren ve gerilim tipi baş ağrılarının tedavisinde BOTOX'un kullanımı, tamamen tesadüfi olarak; 1990 ...

Migren, iki bin yıldır bilinen bir hastalıktır. Migren'i ilk tanımlayan Aretaeustur. Latince de yarı ...

Beyin ve omuriliğin etrafını çeviren ince zara araknoid zar denmektedir. Mikroskopta bu zar örümcek ...

Çok hızlı ürerler. Çamur kıvamındadırlar. Bu nedenle ameliyatla tamamen alınamazlar. Ameliyat sonras ...

Genel olarak beyin tümörlerini malin (kötü huylu) ve benin (iyi huylu) olarak sınıflandırabiliriz. ...

Beynin arka bölgesinde beyincik dediğimiz yapının omurilik kanalına doğru sarkmasına beyincik sarkma ...

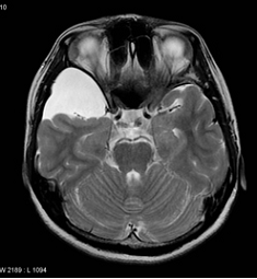
Küçük bir bebekten ileri yaştaki insanlara kadar herkeste görülebilen beyin tümörü en çok karşılaştı ...

Hipofiz, beynin alt tarafında bulunan, çeşitli hormonlar salgılayan ve vücudun diğer salgı bezlerini ...

Beyin tümörü kelimesinin gündeme gelmesi hem hasta hem de doktor açısından sıkıntılı bir durumun baş ...

Beyin vasküler elemanlarının anevrizmalarının meydana getirdiği beyin kanamaları acil ortamlarda kar ...

Ani gelişen beyin kanamaları önemli sorunlarımızdan biridir. Genellikle kanamalar gece saatlerinde o ...

Boyun fıtığı 30-40 lı yaşlarda sık görülen boyun ve kol ağrılarının sık olduğu bir hastalıktır. Hast ...

Bel ağrısı toplumlarda çok sık rastalanan şikayetlerden birisidir. Hastalarımız genellikle ani geliş ...

Bel fıtığı ameliyatından sonra belinizdeki yaraya en az beş gün mutlaka hiç su değmemesine dikkat et ...

Boyun fıtığına nasıl tanı konur denince; aslında mesleğiniz, uğraştığınız sporlar, eskiden geçirmiş ...

Beyinde yerleşen tümörlerin çoğu kanser değildir, yani vücudun başka bir yerine atlamazlar, yani tıb ...

Omurları arasında anormal bir hareketlilik, yani instabilite olduğu hareketli röntgen filmleri ile t ...

Mikrodiskektomi, bel ve boyun fıtığı ameliyatlarının mikrocerrahi ile yapılması yani “mikroskobik di ...

Aynı soruyu, “Bel fıtığı kendiliğinden geçer mi?” veya “Disk fıtığı kendi kendine iyileşebilir mi?” ...

İnsanın elini, kolunu, bacağını hareket ettirmesini sağlayan emirler beyninden bu bölgelere sinirler ...

Spinal metastazların tedavisinde cerrahinin amacı en az invaziv yöntem kullanarak maksimum derecede ...

Perkütan vertebra cisminin sağlamlaştırılması hem ağrıyı kontrol hem de vertebra cisminin dayanıklıl ...

Tedavinin Planlanması Tedavinin Düzenlenmesinde çeşitli faktörle rol oynar. Bunlar sırasıyla; ...

Sıcak havalarda beyin kanaması riski ve dikkat edilmesi gereken noktalar hakkında bilgi veren Prof. ...

İnsanların yaklaşık %95'i hayatlarının bir döneminde bel ağrısı şikayetinden muzdarip olurlar. Fakat ...