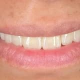
Diastema

Çeneler arası uyumsuzluk , dişlerin boyutları arasındaki uyumsuzluk sebebi le meydana gelebilen iki dis arasikdaki boşluklara diastema denir. Bu bosluklar ozellikle ön dislerde ciddi anlamda estetik bozukluklar meydana getirmektedir. Halk arasında sans ibaresi olarak da görülen bu boşluklar guzel içten bir gulumsemenin önüne geçebilmektedir. Sebebi bir çok faktör olmakla beraber tedavisi mümkün bir durumdur. Boslugun , çenelerin ve dişlerin durumuna gore çeşitli tedavileri mevcuttur. Bonding islemleri ile anestezi olmadan dişten hicbir aşındırma yapılmadan bu boşluklar kapanabilmektedir. Bosluklarin fazla olduğu durumlarda lamine ve zirkonyum kaplamalarla oldukça doğal estetik tedaviler ile bu boşluklar kapanabilmektedir.




