Porselen Lamine Nedir?

İçerik yapay zeka ile optimize edilmiştir
Porselen Lamine Diş Nedir ve Nasıl Uygulanır?
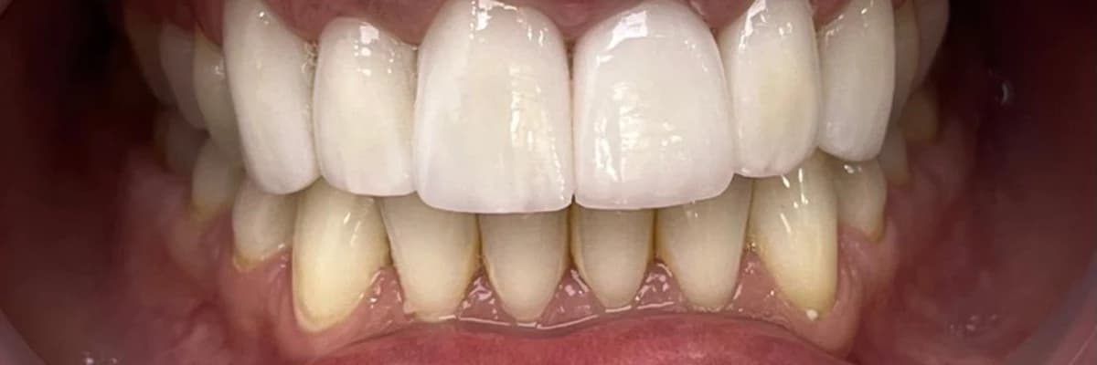
Porselen lamine diş tedavisi, estetik kaygıları gidermek amacıyla hastaya özel olarak hazırlanan, tırnak kalınlığındaki porselen yapıların diş yüzeyine yapıştırılması işlemidir. Bu yöntem, dişin doğal yapısını koruyarak istenilen renk ve formun elde edilmesini sağlayan gelişmiş bir teknikle uygulanır. Uygulama yapılacak dişin sadece ön yüzeyinde, yaklaşık 0.5 mm’lik minimal bir aşındırma yapılması yeterli olmaktadır; zira yerleştirilecek porselen yapının kalınlığı ortalama 0.7 mm civarındadır.
Porselen Lamine Hangi Durumlarda Tercih Edilir?
Estetik diş hekimliğinde sıklıkla başvurulan bu yöntem, özellikle görsel kusurların giderilmesinde etkili sonuçlar vermektedir. Porselen lamine uygulamasının temel kullanım alanları şunlardır:
- Ön dişlerdeki boşlukların (diastema) kapatılması,
- Diş yapısındaki kırık ve çatlakların onarılması,
- Diş beyazlatma yöntemleriyle sonuç alınamayan inatçı renklenmelerin maskelenmesi,
- Dişlerdeki hafif çapraşıklıkların düzeltilmesi.
Lamine Diş Tedavisinin Uygulanamayacağı Durumlar
Her ne kadar avantajlı bir yöntem olsa da, porselen lamine uygulaması belirli kriterlere sahip hastalarda tercih edilmemektedir. Aşağıdaki durumlarda bu tedavinin uygulanması önerilmez:
- Belirgin kapanış bozukluğu olan bireyler,
- Aşırı diş gıcırdatma (bruksizm) problemi yaşayanlar,
- Tırnak yeme veya kalem ısırma gibi zararlı alışkanlıkları bulunanlar,
- İleri boyutta diş eti hastalığı olan hastalar.
Tedavi Süreci ve Kullanım Ömrü
Lamine diş tedavisi, oldukça hassas bir klinik ve teknik çalışma disiplini gerektirir. Tedavi süreci, hastanın beklentilerini tam olarak karşılamak adına titizlikle yürütülür. Dişlerin nihai formu, önceden hazırlanan bir mum şablon (wax-up) üzerinde hasta ile birlikte değerlendirilir ve tüm ayrıntılara bu aşamada karar verilir.
| Özellik | Detay |
|---|---|
| Tedavi Süresi | Yaklaşık 1 Hafta |
| Aşındırma Miktarı | En az 0.5 mm |
| Materyal Kalınlığı | Yaklaşık 0.7 mm |
| Kullanım Ömrü | Doğru vaka ve bakımla uzun yıllar |
Sonuç olarak, doğru bir vakaya uygulanan porselen lamineler, iyi bir ağız bakımı ve özenli kullanımla birleştiğinde çok uzun yıllar boyunca estetik ve fonksiyonel hizmet verebilmektedir.



