Geçmeyen Burun Tıkanıklığı: Basit Bir Grip mi, Yoksa Kronik Sinüzit mi?

İçerik yapay zeka ile optimize edilmiştir
Geçmeyen Burun Tıkanıklığı: Basit Bir Grip mi, Yoksa Kronik Sinüzit mi?
Haftalardır süren burun tıkanıklığı ve baş bölgesindeki ağırlık hissi, genellikle basit bir soğuk algınlığı ile karıştırılmaktadır. Birçok kişi semptomların kendiliğinden geçmesini beklese de, tıbbi veriler 12 haftayı aşan şikayetlerin arkasında çok daha farklı bir klinik tablo olabileceğini göstermektedir. Bu içerikte, tıbbi araştırmalar ışığında grip ile kronik sinüzit arasındaki o ince çizgiyi ve dikkat edilmesi gereken kriterleri inceleyeceğiz.
Zaman Çizelgesi: Semptomlar Ne Kadar Süredir Devam Ediyor?
Grip ve sinüzit arasındaki en belirleyici fark zaman çizelgesidir. Semptomlarınızın süresini takip ederek, yaşadığınız durumun doğası hakkında önemli ipuçları elde edebilirsiniz.
- Sıradan Bir Grip: Genellikle 7-10 gün sürer ve en geç 3 hafta içinde tamamen iyileşme sağlanır.
- Kronik Sinüzit (CRS): Klinik araştırmalar, şikayetlerin 12 hafta veya daha uzun sürmesini "kronik" bir durum olarak tanımlar. Eğer 3 aydır tam olarak rahatlayamadıysanız, bu durum artık bir virüs meselesi olmaktan çıkmış olabilir.
Belirtilerin Karşılaştırması: Vücudunuz Ne Diyor?
Bilimsel literatüre göre, kronik sinüziti gripten ayıran temel semptom grupları bulunmaktadır. Aşağıdaki tablo, bu iki durum arasındaki farkları net bir şekilde ortaya koymaktadır:
| Özellik | Grip / Soğuk Algınlığı | Kronik Sinüzit (CRS) |
|---|---|---|
| Süre | 7 - 10 Gün | 12 Hafta ve Üzeri |
| Burun Akıntısı | Önce şeffaf, sonra koyu (kısa süreli) | İnatçı geniz akıntısı veya yoğun kıvam |
| Koku Kaybı | Geçici ve hafif | Belirgin ve uzun süreli koku azalması |
| Yüz Ağrısı | Nadir ve hafif | Yüzde baskı, diş ağrısı ve yoğun basınç |
| Halsizlik/Uyku | Sadece ilk birkaç gün | Kronik yorgunluk ve uyku kalitesinde düşüş |
Önemli Not: Araştırmalar, kronik sinüzitin sadece basit bir enfeksiyon değil, sinüs kanallarındaki kronik bir inflamasyon (iltihaplanma) süreci olduğunu vurgulamaktadır.
"Grip Sandım Ama Geçmedi": Neden Doktora Gitmelisiniz?
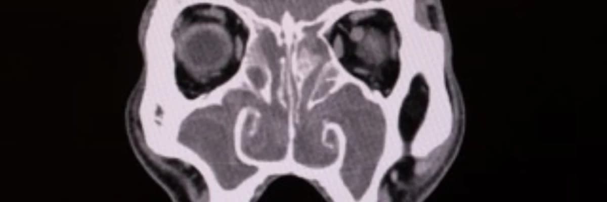
Tıbbi literatür verilerine göre, gribal enfeksiyonlar sırasında çekilen tomografilerde (BT) sinüslerde geçici anormallikler görülebilir; ancak bunlar genellikle 2-3 haftada kendiliğinden düzelir. Eğer şikayetleriniz 12 haftalık süreyi geçtiyse, uzman bir KBB hekimi şu yöntemlerle kesin teşhisi koymaktadır:
- Endoskopi: Burun içindeki iltihaplanmanın ya da polip oluşumlarının doğrudan görüntülenmesi.
- BT (Tomografi): Sinüslerdeki kronik tıkanıklığın ve olası poliplerin kesin tespiti.
Tedavi Yaklaşımları Arasındaki Temel Farklar
Halk arasında yapılan en büyük hata, her burun tıkanıklığında antibiyotik kullanımına yönelmektir. Oysa bilimsel gerçekler tedavi yöntemlerinin farklılığını şu şekilde özetler:
- Grip virüs kaynaklıdır: Bu nedenle antibiyotikler işe yaramaz; istirahat ve destek tedavisi yeterlidir.
- Kronik Sinüzit yapısal bir problemdir: Sadece bakteriyel bir durum değil, yapısal bir sorun veya kronik ödemdir. Burada tedavi, doğrudan inflamasyonu (ödemi) indirmeye yöneliktir.
Sonuç: Ne Yapmalı?
Eğer burnunuzdaki tıkanıklığa yüzünüzdeki basınç hissi eşlik ediyorsa ve bu durum 3 ayı buluyorsa, durumun kendi kendine geçmesini beklemek yaşam kalitenizi ciddi oranda düşürebilir. Sağlığınızı korumak adına bu belirtileri ihmal etmemeniz ve uzman bir görüşe başvurmanız kritik önem taşımaktadır.






