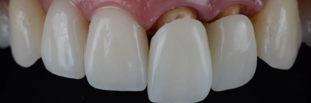
zİRKONYUM KRON

Zirkonyum kaplama, hem estetik görünüm hem de dayanıklılık açısından günümüzde en çok tercih edilen diş kaplama yöntemlerinden biridir. Zirkonyum, ışığı doğal diş minesine benzer şekilde yansıtan, metal içermeyen beyaz bir seramik türüdür. Bu özelliği sayesinde, özellikle ön dişlerde doğal ve estetik bir gülümseme elde etmek mümkündür.
Tedavi sürecinde, kaplama yapılacak dişler minimal şekilde hazırlanır ve ölçü alınır. Laboratuvarda kişiye özel olarak üretilen zirkonyum kaplamalar, sonrasında dişe özel yapıştırıcılarla sabitlenir. Zirkonyum materyali, biyouyumlu yapısı sayesinde diş etiyle mükemmel uyum sağlar ve alerjik reaksiyon riskini en aza indirir.
Zirkonyum kaplamalar, renklenmeye ve aşınmaya karşı son derece dirençlidir. Kahve, çay veya sigara kullanımına rağmen uzun süre ilk günkü parlaklığını korur. Hem ön dişlerde estetik amaçlı, hem de arka dişlerde dayanıklılık gerektiren durumlarda güvenle kullanılabilir.
Doğal diş görünümünü korurken uzun ömürlü sonuçlar elde etmek isteyen hastalarına zirkonyum kaplama tedavisini önermektedir.
Daha beyaz, doğal ve estetik bir gülümseme için siz de zirkonyum kaplama seçeneğini değerlendirebilirsiniz.






