Miliaria yani İSİLİK

İçerik yapay zeka ile optimize edilmiştir
İsilik (Miliaria) Nedir?
Halk arasında isilik olarak tanımlanan tablo, tıbbi literatürde ekrin yapıdaki ter bezlerinin tıkanması sonucunda ortaya çıkan bir deri durumudur. Bu tıkanıklığın meydana geldiği derinlik seviyesine göre farklı klinik tiplere ayrılan isilik, genellikle terleme mekanizmasının yoğun çalıştığı dönemlerde tetiklenir. Özellikle yaz aylarındaki yüksek sıcaklıklar veya ateşli hastalıklar sırasında artan terleme miktarı, bu tablonun oluşumundaki temel faktördür.
İsilik Belirtileri ve Klinik Görünüm
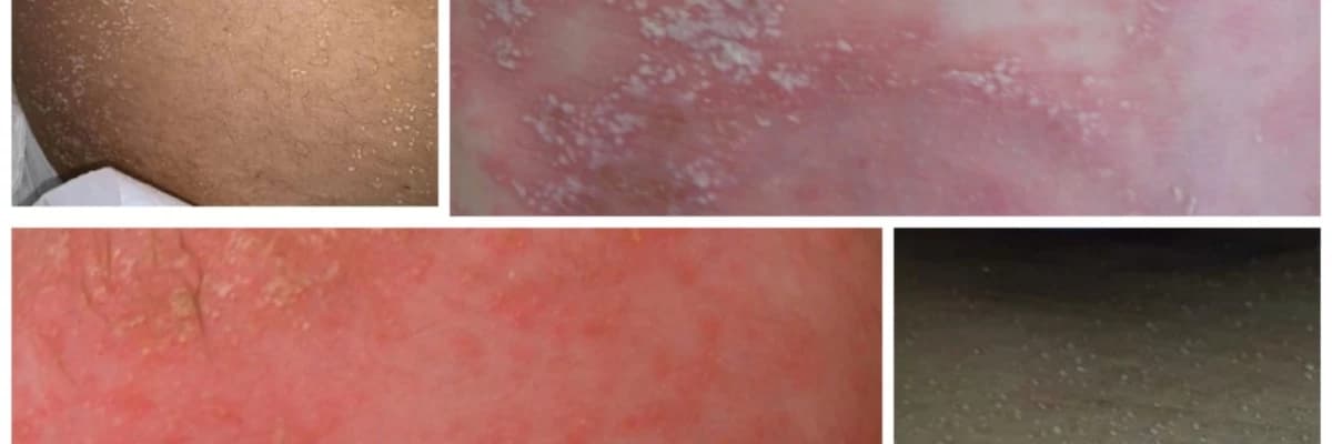
İsiliğin cilt üzerindeki görünümü, ter bezi kanallarındaki tıkanıklığın hangi seviyede gerçekleştiğine bağlı olarak değişkenlik gösterir. Klinik tabloyu şu şekilde kategorize etmek mümkündür:
- Yüzeysel Tıkanıklıklar: Tıkanıklık ter bezi kanallarının üst kısmında ise, cilt yüzeyinde incimsi su damlaları şeklinde şeffaf oluşumlar gözlenir.
- Derin Tıkanıklıklar: Tıkanıklık alt kısımlara doğru ilerlediğinde, belirtiler pembemsi kırmızı renkte kabarıklıklar halini alır.
- Sekonder Enfeksiyonlar: Yaygın lezyonların üzerine enfeksiyon eklendiği durumlarda, zemin kırmızı-sarı bir renk alarak içi irin dolu kabarıklıklara dönüşebilir.
Bebeklerde ve Yetişkinlerde İsilik Görülen Bölgeler
İsilik her yaş grubunda ortaya çıkabilen bir durumdur, ancak vücuttaki dağılımı yaşa göre farklılık gösterebilir. Aşağıdaki tabloda bu farklılıklar özetlenmiştir:
| Yaş Grubu | Sık Görülen Vücut Bölgeleri |
|---|---|
| Bebekler | Bez bölgesi, vücut kıvrımları, yüz ve saçlı deri |
| Yetişkinler | Vücudun herhangi bir bölgesi |
İsiliğin Seyri ve Olası Şikayetler
İsilik vakaları çoğunlukla asemptomatiktir; yani hastada belirgin bir semptom veya şikayete yol açmaz. Bununla birlikte, nadir durumlarda ve şiddetli vakalarda şu belirtilerle karşılaşılabilir:
- Bölgesel kaşıntı hissi.
- Sekonder enfeksiyona bağlı olarak, etkilenen alana yakın lenf bezlerinde büyüme.
- Çok yaygın tutulumlu tablolarda; kırgınlık, halsizlik ve taşikardi (nabız hızlanması).
- Yoğun döküntü evresinden sonra vücut genelinde terleme miktarında azalma.
İsilik Tedavisi ve Dikkat Edilmesi Gerekenler
Lokalize, yani küçük alanlarda sınırlı kalan isilik vakaları genellikle herhangi bir tıbbi müdahale gerektirmeden kendiliğinden geriler. Ancak iyileşme sürecini hızlandırmak ve yeni oluşumları engellemek için şu adımlar kritiktir:
- Serinlik Sağlanması: Fazla terlemeden kaçınılmalı ve mutlaka serin ortamlarda kalınmalıdır.
- Kıyafet ve Sürtünme Kontrolü: Kalın giyinmekten kaçınılmalı, kıyafetlerin neden olabileceği sürtünme minimize edilmelidir. Bebeklerde özellikle bez sürtünmesi ve temasına dikkat edilmelidir.
- Tahrişin Önlenmesi: Deriyi tahriş edebilecek her türlü dış etkenden ve kimyasaldan kaçınılmalıdır.
- Tıbbi Müdahale: İhtiyaç duyulan nadir durumlarda, uzman kontrolünde rahatlatıcı veya tedavi edici kremler ve spesifik tedaviler uygulanabilmektedir.





