Diş Gıcırdatma (Bruksizm) Nedir?

Konya Beyaz Meram Ağız ve Diş Sağlığı Kliniği olarak bu yazıda, diş gıcırdatmanın
nedenlerini, uyku sırasında kas aktivitesinin normalden üç kat daha fazla olmasının yarattığı
riskleri ve bu durumun diş minesinde yol açabileceği hasarları ele alacağız. Ayrıca, çene
ekleminde oluşabilecek ağrılar, sabah yorgunluğu gibi belirtilerin yanı sıra bruksizmin uzun
vadeli etkilerinden korunmak için önerdiğimiz kişiye özel tedavi seçeneklerini paylaşacağız.
Amacımız, bu sessiz alışkanlığın farkındalığını arttırmak ve Konya’da yaşayanların ağız ve
diş sağlığını korumak için multidisipliner bir yaklaşımla sunduğumuz çözümleri sizlerle
buluşturmak. Diş gıcırdatmanın yalnızca bir “alışkanlık” olmadığını, vücudunuzun verdiği bir
sinyal olduğunu unutmayın. Bu yazıda, hem koruyucu önlemler hem de klinikte
uyguladığımız modern tedavi yöntemleriyle ilgili detayları keşfedeceksiniz.
Diş Sıkmanın Nedenleri Nelerdir?
Bruksizm, halk arasında diş gıcırdatma veya diş sıkma olarak bilinen, özellikle uykuda diş
gıcırdatma şeklinde kendini gösteren yaygın bir sağlık sorunudur. Bu durum, çene kaslarının
istemsiz ve aşırı kasılmasına bağlı olarak gelişir ve hem dişlerde hem de temporomandibular
eklem (çene eklemi) üzerinde ciddi hasarlara yol açabilir. Bruksizmin temel nedenleri
arasında stres kaynaklı diş sıkma başta olmak üzere kişilik yapısı, genetik faktörler,
antidepresan gibi bazı ilaçların yan etkileri, nörolojik veya psikolojik rahatsızlıklar, uyku
apnesi veya huzursuz bacak sendromu gibi uyku bozuklukları yer alır. Ayrıca, ağız içindeki
dengesizlikler (eksik dişler, hatalı protezler, çürükler) de bruksizmi tetikleyebilir.
Klinik araştırmalar, bruksizm hastalarında uyku kalitesinin bozulduğunu ve REM uykusu
sırasında yaşanan problemlerin gün içinde yorgunluk, baş ağrısı veya konsantrasyon kaybı
gibi semptomlarla sonuçlandığını ortaya koymuştur. Uzun vadede, kontrolsüz diş sıkma
alışkanlığı diş aşınması, diş çatlakları ve hatta diş kayıplarına kadar ilerleyen
komplikasyonlara neden olabilir. Aşırı baskı altında kalan çene kasları ise kronik çene ağrısı,
yüzde şişlik veya çene ekleminde tıkırtı sesleri gibi belirtilerle kendini gösterebilir.
Diş Çıkmanın Yol Açtığı Sorunlar Nelerdir?
Bruksizm olarak adlandırılan diş sıkma veya gıcırdatma alışkanlığı, öncelikle diş minesinde
hasar ile başlayan ancak zamanla vücudun farklı bölgelerini etkileyen ciddi komplikasyonlara
yol açabilir. Sürekli ve kontrolsüz diş sıkma, dişlerin birbirine sürtünmesi nedeniyle diş
aşınmasına, mine yüzeyinde çatlaklara ve hatta diş kırıklarına neden olabilir. Bu durum,
dişlerde hassasiyet, renk değişimi ve estetik kaygıları da beraberinde getirir. İlerleyen
vakalarda, diş eti çekilmesi veya kemik erimesi gibi periodontal sorunlar ortaya çıkabilir.
Çene bozuklukları ise bruksizmin en yaygın sonuçlarından biridir. Aşırı kasılan çiğneme
kasları, çene ağrısı, temporomandibular eklemde (TME) tıkırtı sesleri ve hareket kısıtlılığına
yol açabilir. Kronikleşen bu durum, yüz kaslarında hipertrofiye (aşırı büyüme) bağlı “kare
çene” görünümüne veya fonksiyonel sınırlanmalara neden olabilir. Ayrıca, uyku bozuklukları
ile ilişkili bruksizm, gece boyunca tekrarlayan kas aktivitesi nedeniyle sabahları baş ağrısı,
yorgunluk ve konsantrasyon güçlüğü gibi semptomlarla da kendini gösterir.
Bruksizmin uzun vadeli etkileri, sadece ağız içi dokularla sınırlı kalmaz. Diş sıkma alışkanlığı
devam ettiğinde, geniş restorasyonlar veya karmaşık diş tedavisi gerektiren klinik tablolar
ortaya çıkabilir. Bu nedenle, erken dönemde teşhis ve koruyucu önlemler (gece plağı, stres
yönetimi, fizyoterapi) büyük önem taşır.
Diş Sıkma Tedavisinde Botoks Uygulaması
Bruksizm (diş sıkma veya gıcırdatma) tedavisinde botulinum toksin tip A (Botox) uygulaması,
özellikle şiddetli kas hiperaktivitesi olan ve geleneksel yöntemlerden yanıt alınamayan
vakalarda etkinliği kanıtlanmış bir tedavi seçeneğidir. Diş sıkma botoksu, masseter botoksu
veya çene botoksu olarak da adlandırılan bu yöntemde, çiğneme fonksiyonundan sorumlu
masseter kasının belirli anatomik noktalarına, ince iğnelerle kontrollü bir şekilde botulinum
toksin enjekte edilir. Uygulamanın başarısı, enjeksiyonun doğru noktalara ve kişiye özel
hesaplanan dozda yapılmasına bağlıdır. Genellikle her bir çeneye 20-30 ünite olmak üzere
toplam 40-60 ünite Botoks kullanılır. Dozaj, kasın hacmi, gücü ve hastanın klinik bulguları
göz önünde bulundurularak belirlenir. Bu hassas denge, çiğneme fonksiyonunu bozmadan
aşırı kas aktivitesini kontrol altına almak için büyük önem taşır.
Botoks, enjekte edildiği kas liflerinde geçici bir kısmi felç etkisi oluşturarak kasılma şiddetini
azaltır. Böylece, istemsiz diş sıkma ve gıcırdatma sırasında dişlere, çene eklemine ve çevre
dokulara binen mekanik yük önemli ölçüde hafifler. Tedavinin etkisi yaklaşık iki hafta içinde
başlar; çene ağrısı, baş ağrısı, boyun ve omuz gerginliği gibi semptomlarda belirgin iyileşme
gözlemlenir. Ayrıca, diş minesinde oluşabilecek çatlaklar, diş aşınması veya dolgu kırılmaları
gibi komplikasyonların önlenmesine yardımcı olur.
Bruksizm kaynaklı kare çene görünümünün yumuşatılması da bu tedavinin önemli bir estetik
avantajıdır. Masseter kasının hacmi azaldıkça yüz hatları daha oval ve dengeli bir forma
kavuşur. Ancak bu etki, çiğneme veya konuşma gibi temel fonksiyonları etkilemez. Botoksun
etki süresi ortalama 4-6 ay olmakla birlikte, bu süre kişinin metabolizma hızı ve yaşam
tarzına göre değişkenlik gösterebilir. Kalıcı sonuçlar için tedavinin 3-4 aylık aralıklarla
tekrarlanması gerekebilir.
Bruksizmde kullanılan gece splintleri veya anti-inflamatuar ilaçlar gibi klasik yöntemler,
semptomları geçici olarak baskılamaya veya dişleri korumaya yönelikken, Botoks doğrudan
aşırı kas aktivitesini hedef alır. Özellikle gece plağı kullanımına rağmen devam eden diş
aşınması veya eklem hasarı olan hastalarda, Botoks tedavisi koruyucu ve destekleyici bir rol
üstlenerek yaşam kalitesini arttırır.
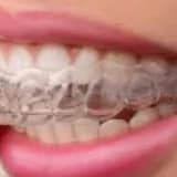
Diş Gıcırdatmada Gece Plakları
Gece plağı, özellikle stres kaynaklı diş sıkma veya uykuda diş gıcırdatma (bruksizm) sorunu
yaşayan bireyler için tasarlanan şeffaf ve kişiye özel bir ağız koruyucudur. Bu aparey,
dişlerin ölçüsü alındıktan sonra laboratuvarda hazırlanır ve genellikle üst çeneye
yerleştirilerek kullanılır. Diş sıkma alışkanlığı, çene kasları üzerinde aşırı baskı oluşturarak
baş ağrısı, boyun tutulması ve dişlerde aşınma gibi sorunlara yol açabilir. Ayrıca, zamanla
diş çatlakları veya diş hassasiyeti gibi geri dönüşü olmayan hasarlar ortaya çıkabilir. Gece
koruyucu plak, bu tür şikayetleri azaltarak diş sağlığını korumaya yardımcı olur. Uyku
sırasında dişler arasındaki teması yumuşatır, çene eklemine ve kaslara binen yükü dengeler.
Bu sayede temporomandibuler eklem rahatsızlıklarının önlenmesine ve kasların aşırı
geriliminin azalmasına katkı sağlar.
Gece plağının kullanımı, akşam yemeğinden sonra dişler fırçalanıp temizlendiğinde başlar.
Özellikle sınav dönemi gibi stresli zamanlarda, gün içinde de takılabilir. Dişlerin sıkıldığı
anlarda tampon görevi görerek diş yüzeylerinin korunmasını sağlar. Aynı zamanda çiğneme
kaslarının dinlenmesine izin vererek dokuların sağlıklı kanlanmasını destekler. Bu aparey,
diş hekimliğinde ağız koruyucu olarak sıkça tercih edilen ve uzun vadeli komplikasyonları
önleyen pratik bir çözümdür. Düzenli kullanımıyla, dişlerdeki aşınma, çene ağrısı ve baş
ağrısı gibi şikayetlerde belirgin azalma gözlemlenir. Bu süreçte, Konya en iyi diş hekimi
kadrosuna sahip kliniklerle iletişime geçerek kişiye özel gece plağı uygulaması hakkında
detaylı bilgi alabilir ve tedavinizin doğru şekilde yönetilmesini sağlayabilirsiniz. Hekim
kontrolü, apareyin doğru uyumu ve etkinliği açısından büyük önem taşır.



