İmplant üstü sabit protez çeşitleri

İçerik yapay zeka ile optimize edilmiştir
İmplant Destekli Sabit Protez Tedavileri
Tek veya birkaç diş eksikliğinin giderilmesinde, implant destekli kron ve köprüler ile uygulanan sabit protetik tedaviler günümüzde en yaygın yöntemler arasındadır. Tam dişsiz ark vakalarında ise hastanın durumuna göre hareketli veya sabit olmak üzere iki temel seçenek değerlendirilir. Bu içerikte, modern diş hekimliğinde kullanılan sabit protez çeşitleri ve uygulama yöntemleri detaylandırılmıştır.
Dental implant uygulamalarının temel amacı; görsel açıdan estetik, fonksiyonel olarak rahat çiğneme imkanı sunan, aynı zamanda diş eti ve kemik dokularıyla biyolojik uyum sağlayan protezler üretmektir. Başarılı bir tedavi süreci, hem implantın kalitesine hem de üzerine yerleştirilecek protezin doğru seçimine bağlıdır.
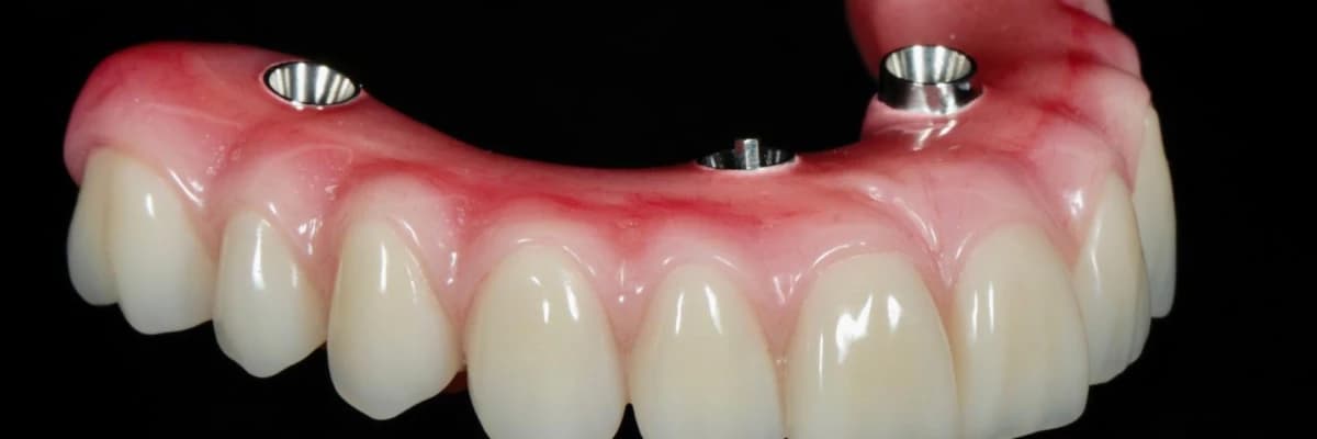
Vidalı ve Simante (Yapıştırılan) Protezlerin Karşılaştırılması
Genellikle ekonomik avantajları nedeniyle simante (yapıştırılan) protezler tercih edilse de, uzun vadeli ağız sağlığı ve kullanım konforu açısından vidalı protez sistemleri daha ileri bir çözüm sunar. Vidalı sistemlerin tercih edilme nedenleri şunlardır:
- Kolay Müdahale: Vida gevşemesi veya teknik bir sorun oluştuğunda, hekim tarafından dokulara zarar vermeden kolayca sökülüp tekrar takılabilir.
- Yüksek Hijyen Standartları: Yapıştırıcı (siman) artığı riski taşımadığı için diş eti sağlığı açısından daha hijyenik bir yapı sunar.
Diş Eksikliği Türlerine Göre Sabit Protez Seçenekleri
Diş eksikliğinin miktarına ve konumuna göre uygulanan sabit protez yöntemleri şu şekilde sınıflandırılmaktadır:
1. Tek Diş Eksikliklerinde Uygulamalar
Tek diş kayıplarında estetik ve fonksiyonu geri kazandırmak için şu yöntemler izlenir:
- Vidalı Porselen Kuronlar:
- Metal altyapılı porselen (Döküm veya Cad-Cam teknolojisi ile)
- Zirkon altyapılı porselen (Cad-Cam)
- Simante Porselen Kuronlar:
- Metal altyapılı porselen (Döküm veya Cad-Cam teknolojisi ile)
- Zirkon altyapılı porselen (Cad-Cam)
2. Çoklu Diş Eksikliklerinde Uygulamalar
Geniş boşlukların bulunduğu vakalarda, estetik beklentiler ve dayanıklılık ön plandadır:
- Vidalı Porselen Kuron Köprüler:
- Metal altyapılı (Döküm veya Cad-Cam)
- Zirkon altyapılı (Cad-Cam)
- Simante Porselen Köprüler:
- Metal altyapılı (Döküm veya Cad-Cam)
- Zirkon altyapılı (Cad-Cam)
3. Total (Tam) Diş Eksikliklerinde Uygulamalar
Hiç dişin bulunmadığı çenelerde uygulanan sabit çözümler şunlardır:
- Metal Altyapılı Porselen Köprüler: Simante veya öncelikli olarak vidalı sistemler.
- Metal Altyapılı Hibrit Protezler: Fonksiyonel ve dayanıklı çözümlerdir.
- Zirkon Altyapılı Porselen Köprüler: Bu tip vakalarda genellikle tercih edilmemektedir.
Sonuç olarak, implant markası ve implantın doğru konumlandırılması kadar, üzerine yapılacak protezin tipi de kritik öneme sahiptir. Vidalı sistemlerin tercih edilmesi, uzun dönemde hem hasta konforu hem de hekim müdahalesi açısından en sağlıklı yaklaşım olarak kabul edilmektedir.





